Prostaatkanker is de meest voorkomende vorm van kanker bij mannen. Jaarlijks krijgen meer dan 10.000 mannen deze ziekte en overlijden er 2.500 aan. De invoering van bevolkingsonderzoek naar prostaatkanker kan deze sterfte met zeker 22 procent verminderen. De huidige praktijk is om de mogelijke aanwezigheid van prostaatkanker vast te stellen op basis van verhoogde PSA-waarden in het bloed en vervolgens een prostaatbiopt. Deze methode wijst echter ook relatief onschuldige prostaatproblemen aan en leidt tot veel (over)diagnose en overbehandeling. Daarom is deze techniek niet geschikt voor bevolkingsonderzoek.
Tienduizenden MRI’sEen PSA-test gecombineerd met een MRI is waarschijnlijk wel gevoelig en specifiek genoeg. Geert Litjens schat in dat voor bevolkingsonderzoek in Nederland tienduizenden MRI’s per jaar gemaakt moeten worden. De apparaten hiervoor zijn er wel, maar er zijn te weinig ervaren radiologen om deze beelden te beoordelen. Als radiologen geholpen kunnen worden door de geautomatiseerde beoordeling van de computer, is de inzet van MRI wel mogelijk.
Radioloog imiteren
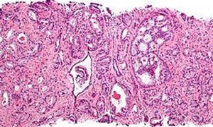
Om MRI-scans door de computer te laten beoordelen op prostaatkanker, ontwikkelde Geert Litjens een algoritme. Hij baseerde zich hiervoor op de werkwijze van radiologen: “Het eerste wat het programma moet doen is aanwijzen waar de prostaat zit. Voor een radioloog is dat kinderspel, maar de computer heeft er wat meer moeite mee. Vervolgens kijkt het programma heel globaal of er verdachte gebieden zichtbaar zijn. Bijvoorbeeld donkere vlekken in de prostaat die daar niet horen. Als hij iets ziet dat prostaatkanker zou kunnen zijn, gaat het programma gedetailleerd naar die plek kijken.”
Betere diagnose
Radiologen zien sneller dan een computer of er iets mis is op een MRI-scan. De computer is juist veel beter in kwantitatieve analyses van de beelden, wat helpt bij het bepalen van de ernst van de kanker. Op deze manier vult de computer het werk van de radioloog aan en kan de radioloog beter onderbouwd een diagnose stellen. Ook kan de computer de radioloog helpen om tumoren te ontdekken, die hij over het hoofd heeft gezien. De diagnose wordt hiermee dus nauwkeuriger.
Computerradioloog
De volgende stap in het onderzoek is om het algoritme verder te verbeteren en bij een grote groep patiënten te evalueren hoe de computer presteert in vergelijking met de radioloog. Geert Litjens: “Zodra de methode ingevoerd kan worden, is een interessante vraag of de computer straks de beelden beter beoordeelt dan de radioloog. Daar kunnen we nu nog niets over zeggen. Ik verwacht zeker dat de computer het werk van de radioloog verbetert, zodat straks niet voor alle beoordelingen meer een ervaren radioloog nodig is.”
-
Meer weten over deze onderwerpen? Klik dan via onderstaande buttons door naar meer nieuws.
Meer nieuws

Tips over sporten, voeding en stress voor mensen met parkinson Leefstijladvies als medicijn op basis van de nieuwste inzichten
4 november 2025Bas Bloem geeft adviezen voor leefstijl bij parkinson op basis van de nieuwste wetenschappelijke inzichten.
naar pagina



